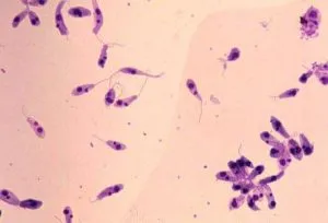
The NNN (Novy-MacNeal-Nicolle) is a common culture medium for isolating the agent of the genus Leishmania, which causes leishmaniasis. The culture of this organism in suitable media gives rise to a motile, extracellular form called promastigote.
A variety of media has been used for the culture of Leishmania. These can be divided into three main categories: semisolid, biphasic, and liquid. Other in vitro culture media include RPMI 1640, Evans, and Schneider.
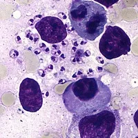
NNN Medium was developed by Novy, McNeal and modified by Nicolle. NNN medium consists of two phases, blood agar base (part A) and Lockes solution (part B). This medium consists of blood agar and an overlay medium. The blood agar base is a highly nutritious medium that supports the growth of fastidious organisms like Leishmania and Trypanosoma. The specimens are inoculated into the liquid phase of the biphasic medium and incubated. The amastigotes transform into promastigotes in about 24 hours.
If you are in USA, CDC can provide ready to use NNN culture medium. You can inoculate the sample (keep it at room temperature) and mail them as soon as possible by overnight mail. CDC incubates the sample for four weeks, and if the culture becomes positive, it performs isoenzyme studies to identify the species of the parasites.

Uses of Culture
- **Disease diagnosis:**Culture is not a common practice in the diagnostic laboratories as they perform Giemsa stain to detect the amastigote form of Leishmania or uses serological tests like rK39, DAT to make thediagnosis (in visceral leishmaniasis). But in equivocal/indeterminate cases, culture can confirm the diagnosis.
- To use in serologic studies: In vitro cultivation of Leishmania promastigotes is necessary to obtain many organisms to use in serological studies.
- Research works: To study Leishmania species’ antigenic structure, biochemical properties, and infective capabilities.
Composition of Media
Commercial suppliers supply the ready-to-use NNN medium, which you can purchase. Â The constituents/ingredients of the media are:
Part A(ingredients gms/liter)
- Meat extracts 3.000
- Peptic digest of animal tissue 5.000
- Sodium chloride 8.000
- Agar 15.000
Final pH ( at 25°C) 7.3 ± 0.2
Part B(ingredients gms/liter)
- Sodium chloride 8.000
- Potassium chloride 0.200
- Calcium chloride 0.200
- Monopotassium dihydrogen phosphate 0.300
- Dextrose 2.500
Final pH ( at 25°C) 7.0 ± 0.2
Making of Culture Media/Tube
Commercial suppliers mostly supply dehydrated media (in the form of free-flowing powder). You can prepare ready-to-use culture media following the procedure mentioned below.
Part A:
- Suspend 31 grams in 1000 ml distilled water.
- Heat to boiling to dissolve the medium completely.
- Sterilize by autoclaving at 15 lbs pressure (121°C) for 15 minutes.
- Cool to 45°C and aseptically add sterile defibrinated rabbit or human blood.
- Mix well and dispense in 5 ml amounts in test tubes or 25 ml amounts in flasks.
- Allow tubed media to cool in a slanted position.
Part B :
- Suspend 11.2 grams of Part B in 1000 ml distilled water.
- Heat to boiling to dissolve the medium completely.
- Sterilize by autoclaving at 15 lbs pressure (121°C) for 15 minutes.
- Cool and add approximately 2 ml in tubes or 10-15 ml in flasks over solidified Part A medium.
Storage
Keep the prepared media refrigerated until it is used (stable for 2-4 weeks), and bring it to room temperature before inoculation.

Inoculation
- Inoculate the specimen (spleen aspiration, bone marrow biopsy, or lymph node aspiration) intothe liquid phase of the biphasic medium.
- Incubate at 21-26°C for four weeks. Check for the organism’s growth and possible fungal contamination after four days and continue at four days intervals for the next fourweeks.
Result
If positive, luxuriant growth of the organism is seen in the media. Giemsa stains the culture filtrate and observes free, flagellated Leishmaniapromastigote under a microscope.
References
- Chouihi, E., Amri, F., Bouslimi, N., Siala, E., Selmi, K., Zallagua, N., Ben Abdallah, R., Bouratbine, A., & Aoun, K. (2009). Les cultures sur milieu NNN dans le diagnostic biologique des leishmanioses [Cultures on NNN medium for the diagnosis of leishmaniasis]. Pathologie-biologie, 57(3), 219–224. https://doi.org/10.1016/j.patbio.2008.03.007
- BELTRAN, E., & GUTIERREZ BALLESTEROS, E. (1950). Empleo del medio N.N.N. (agarsangre) en el cultivo de Entamoeba histolytica [Use of N.N.N. medium (blood agar) in culture of Entamoeba histolytica]. Revista del Instituto de Salubridad y Enfermedades Tropicales, 11(2-3-4), 107–109.