Yersinia pestis is gram-negative rods responsible for highly fatal zoonotic disease, plague. Plague is one of the greatest killers known to mankind with at least three pandemics reported in history. It is transmitted to humans from rodents primarily by the rat fleas and human to human via respiratory droplets.
Second plague pandemic, also known asblack death, killed 1/3rd of the European population

Properties
Staining Characteristics:
- Gram staining of culture smear reveals gram-negative rods or coccobacilli (pleomorphism).
- Involution forms are seen in older cultures.
- It shows bipolar staining (ends of the bacillus stain darker than the central part).

BiochemicalProperties:
- Catalase positive and oxidase negative (property of Enterobacteriaceaefamily)
- Capsulated
- Sugar fermentation: It ferments glucose, mannitol, and maltose with the production of acid but no gas. Lactose and sucrose are not fermented.
- **Non-motile:**Yersinia pestis is non-motile both at 25°C and 37°C; in contrast to other Yersiniaspecies which are motile at 25°C but non-motile at 37°C.
- Indole: Negative
- Urease: Negative
- Citrate utilization test: Negative
- Methyl-Red: Positive
- Voges-Proskauer (VP): Negative
Clinical Disease and Manifestations
Transmission
Human can be infected by plague through:
- Bite of infected rat fleas (human fleas may rarely serve as a vector).
- Direct unprotected contact with tissues or bodily fluids of an infected animal (rodents) or contaminated materials.
- Inhalation of contaminated airborne droplets from cases of pneumonic plague.
Plague exists in two natural cycles:
- Domestic cycle: It occurs between humans, rat fleas, and rodents.
- Wild or sylvatic cycle: It occurs in nature among wild rodents, independent of human beings.
Human plague occurs in three clinical forms;
1. Bubonic plague: It is the most common type, transmitted by the bite of infected vector fleas. Bubonic plague is characterized by high fever and painful inflammatory swellings of axilla and groin lymph nodes (i.e. the characteristics buboes). Bubonic plague can not spread from person to person as the bacilli are locked up in buboes but if left untreated, bacteremia occurs leading to pneumonia, meningitis and is frequently fatal.
Regional lymph nodes appear as tense, tender swellings called buboes; the most common site being inguinal, but also be crural, axillary, cervical, or submaxillary, depending on the site of the bite. Children are most likely to present with cervical or axillary buboes.
2. Pneumonic plague: Pneumonic plague occurs as a consequence of bacteremic spread associated with bubonic plague or can be acquired by the airborne route during close contact with other pneumonic plague victims. The incubation period is 1-3 days, and infected individuals showed fever, headache, and respiratory symptoms (productive cough or hemoptysis, dyspnea, and chest pain). Pneumonic plague is highly infectious and is also rapidly fatal.
3. Septicemic plague: It mostly develops as a consequence of bubonic or pneumonic plague. Massive involvement of blood vessels results in hemorrhages in the skin and mucosa which may lead to gangrene of the affected site; hence disease was named in the past as black death.
Laboratory Diagnosisof Plague
Yersinia pestisis a high-risk organism, the diagnosis is strictly done only in a BSL level-3 laboratory.
Specimen
Choice of a sample depends on the type of plague. Commonly used samples are; pus, fluid aspirated from buboes, sputum, or blood. If a delay in transportation is likely, Cary-Blair transport medium can be used.

Direct microscopy
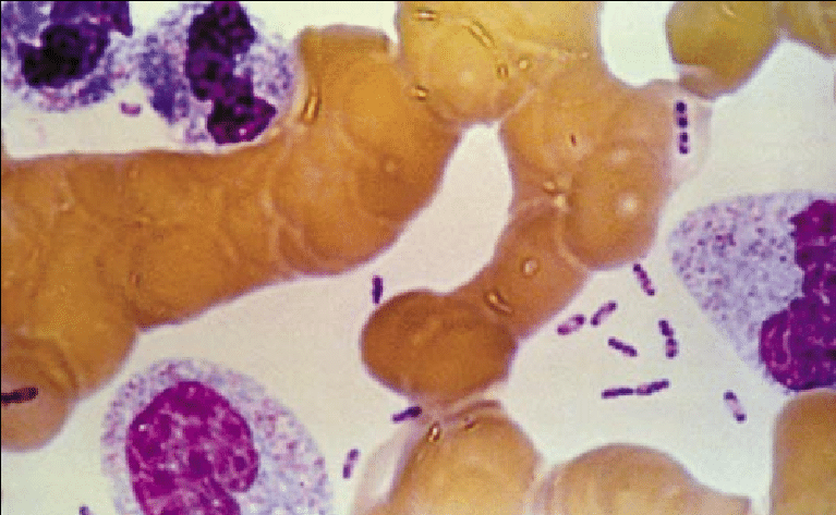
- Gram staining reveals the presence of pus cells and Gram-negative (pink) single or short-chained pleomorphic coccobacilli with rounded ends surrounded by a capsule.
- Wayson or Giemsa staining demonstrates the typical bipolar or safety pin appearance. Two ends are darkly stained with a clear central area.
AllYersinia pestismay stain as bipolar cells, but all bipolar-staining cells are notY. pestis.
Culture
Y. pestis is a member of the Enterobacteriaceae family. It is aerobic and facultatively anaerobic. The optimum temperature for growth (unlike most pathogens) is 27°C. It is not fastidious and grows on ordinary media.
| Characteristics | Yersinia pestis |
|---|---|
| Catalase test | Positive |
| Oxidase test | Negative |
| Nitrate reduction test | Positive |
| Methyl-Red (MR) test | Positive |
| Voges-Proskauer (VP) test | Negative |
| Citrate utilization test | Negative |
| Indole test | Negative |
| H2S production test | No |
| Urease test | Negative |
| Oxidative-fermentative (OF) test | Fermentative |
| TSI reactions | Alkaline/Acid, No gas, No H2S |
| Motility | Non-motile |
| Phenyl Pyruvic acid (PPA) test | Negative |
| Lysine decarboxylation test | Negative |
| Arginine decarboxylation test | Negative |
| Ornithine decarboxylation test | Negative |
| ONPG | +/-(strain variability) |
| Sugar fermentation test | |
| Glucose | Yes |
| Sucrose | No |
| Lactose | No |
| Mannitol | Yes |
Y. pestis grows well in nutrient-rich broth (such as brain heart infusion, trypticase soy or nutrient broth) or agar medium like (Blood agar, MacConkey agar, XLD agar, etc).
**Broth medium:**Broth cultures of Yersinia pestis exhibit a characteristic “stalactite pattern” in which clumps of cells adhere to one side of the tube.

**Blood agar:**Yersinia pestis gives pinpoint, non-hemolyic colonies on 5% sheep blood agar. After 48 to 72 hours, it shows gray-white to slightly yellow opaque raised, irregular “fried egg” or “cauliflower” appearance; alternatively, colonies may have a “hammered copper” shiny surface.
On MacConkey agar, XLD, DCA agar, and SS agar, small, non-fermenting colonies are produced.
Identification
Yersinia pestis can be identified using an array of biochemical tests and or using commercial systems.
Antigen detection
F1 antigen is detected from bubo aspirate or sputum by direct immunofluorescence test, ELISA, or immunochromatographic test (ICT) by using monoclonal antibodies.
Serological techniques
Antibodies against the F1 antigen can be detected by passive hemagglutination or complement fixation test or ELISA. The use of paired sera and the presence of a four-fold rise in titer confirms the diagnosis. The presence of antibodies provides limited diagnostic value, as the diagnosis is retrospective but may help as an epidemiological marker.
Other methods
Rapid diagnostic tests, Immunofluorescence antibody test, Real-time Polymerase Chain reaction (PCR)can be used to identify Yersinia isolates to species level. PCR is available targeting gene coding F1 antigen, pesticin gene, and the plasminogen activator gene.
Typing
Typing and differentiation between strains of Yersinia species can be achieved using a range of molecular techniques eg multiple-locus variable-number tandem-repeat analysis, pulsed-field gel electrophoresis (PFGE), whole-genome sequencing (WGS), etc. Biotyping is done based on glycerol fermentation and nitrate reduction.
References and further readings
- Procop, G. W., & Koneman, E. W. (2016). Koneman’s Color Atlas and Textbook of Diagnostic Microbiology(Seventh, International edition). Lippincott Williams and Wilkins.
- Tille, P. (2017). Bailey & Scott’s Diagnostic Microbiology (14 edition). Mosby.