
Trichomonas vaginalis is a protozoan parasite. It causes trichomoniasis; **a sexually transmitted infection.**The primary habitat of this organism is the vagina and prostate. In infected females, it causes itching and burning accompanied by a profuse, foul-smelling, yellow-green vaginal discharge (about 25% of women are symptomatic). Infected males are generally asymptomatic, some (about 10%) may develop urethritis. It is not possible to diagnose trichomoniasis based on these symptoms alone.
Note: Trichomonas vaginalis is not an exclusive parasite of women, it also infects men.

Sample
****Specimen can be collected by using urogenital swabs.
- Female: Urine sediment, vaginal secretions
- Male: Urethral discharge or prostate secretions or first few drops of voided urine
Sample for culture should be placed into a tube containing 0.5mL of sterile saline or commercially available plastic envelopes for direct examination and culture (InPouch TV, BIOMED) immediately.
Methods
- Microscopy and staining:

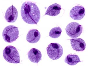
Direct microscopic examination of a wet preparation of sample (vaginal discharge) provides the simplest rapid diagnostic test for vaginalis. It includes detection of pear-shaped trophozoites (only form; there is no cyst form) of T. vaginalis in a wet mount with typical jerky motility.Direct fluorescent Antibody (DFA) stain can be used to visualize the parasite.
Morphological features of Trophozoites:
- Pear-shaped organism with a central nucleus and **four anterior flagella.**2. It has an undulating membrane that extends about 2/3rd of its length.
(Watch the video of vaginal discharge observed under phase-contrast microscopy here)
**Culture:**Culture is a very sensitive (95%) procedure for the diagnosis of trichomoniasis. It is recommended when a direct smear is negative.****Johnson’s and Trussel’s medium gives a good growth of T. vaginalis. It consists of proteose peptone, NaCl, sodium thioglycolate, and human serum. It grows best at 35°C-37°C anaerobic conditions and less well aerobically. The optimal pH for growth is 5.5 to 6.0. ****T. vaginalis can be cultured in commercially available diamond medium or plastic envelopes.
**Serology:**Better serologic test for T. vaginalis is not available.
Molecular Methods:Polymerase chain reactions (PCR) and nucleic acid hybridization methods can be used to detect T.vaginalisdirectly in clinical specimens. Aptima Trichomonas vaginalisAssay is a nucleic acid amplification test (NAAT) for the detection of ribosomal RNA (rRNA) of Trichomonas vaginalis. It utilizes Target Capture, Transcription-Mediated Amplification (TMA), and Hybridization Protection Assay (HPA) technologies and aid in the diagnosis of trichomoniasis using the Tigris DTS System or the Panther System.
References
- Madigan Michael T, Bender, Kelly S, Buckley, Daniel H, Sattley, W. Matthew, & Stahl, David A. (2018). Brock Biology of Microorganisms (15th Edition). Pearson.
- Color Atlas and Textbook of Diagnostic Microbiology, Koneman, 5th edition