Potassium hydroxide (KOH) preparation is one of the most common direct fungal stains; others are PAS (periodic-acid Schiff), GMS (Grocott’s methenamine silver stain), and calcofluor white. It is used for the rapid detection of fungal elements in clinical specimens.
Treatment of skin scrapings, nails, or hairs with potassium hydroxide (KOH) dissolves tissue material, leaving the alkali-resistant fungi intact. Microscopic examination of KOH preparation reveals the presence of fungal structure and aids in diagnosing mycoses.

KOH is a strong alkali. When specimen such as skin, hair, nails or sputum is mixed with 10% w/v KOH*,* it softens, digests and clears the tissues (e.g., keratin present in skins) surrounding the fungi so that the hyphae and conidia (spores) of fungi can be seen under a microscope.
KOH Mount Overview
| Method | Potassium hydroxide preparation (KOH mount) |
|---|---|
| Use | Clearing of specimens to make fungi more readily visible |
| Time required | 5 min; if clearing is not complete, an additional 5-10 min is necessary. |
| Advantages | Rapid detection of fungal elements |
| Disadvantages | Requires experience because background artifacts are often confusing; clearing of some specimens may require an extended time. |
Procedure of KOH Preparation
- Place a drop of KOH solution on a slide.
- Transfer the specimen (small pieces) to the drop of KOH, and cover with glass. Place the slide in a petri dish, or another container with a lid, together with a damp piece of filter paper or cotton wool to prevent the preparation from drying.Note: To assist in clearing, hairs should not be more than 5 mm long, and skin scales, crusts, and nail snips should not be more than 2 mm across.
- As soon as the specimen has cleared, examine it microscopically using the 10X and 40X objectives with the condenser iris diaphragm closed sufficiently to give a good contrast. If too intense a light source is used, the contrast will not be adequate, and the unstained fungi will not be seen.Â

Uses
The KOH test is one of the main methods of diagnosing fungal infections in diagnostic laboratories. It is used as a primary screening tool. This wet-mount procedure helps to visualize fungal elements but may not necessarily identify the species of the fungi.
| Suspected conditions | Specimen | Diagnostic characteristics |
|---|---|---|
| Aspergillus infection | Sputum | Septate hyphae with V-shaped branching |
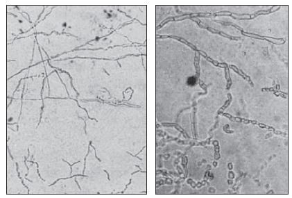
| Dermatophytes (ringworm fungi) | skin scrapings, nails or hair | Hyaline septate hyphae, arthroconida, or spherical yeast cells, depending on the etiologic agents involved. |
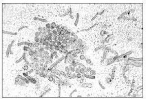
| Blastomyces dermatitidis infection | Pus, sputum or skin specimens | Yeast cells (large budding yeast cells with distinct broad base) of Blastomyces dermatitidis. B.dermatitidis is a dimorphic fungus with yeast cells in tissue. |
| Mucormycosis | Exudates from infected lesions or tissue | Aseptate hyphae of fungi causing mucormycosis. |
| Chromoblastomycosis | KOH preparation of scrapings from crusted lesions | Muriform cells (aggregation of dark brown cells that resemble stones in a stone wall) or round and brown sclerotic bodies of 4-10 ÎĽm diameter with fission planes. They resemble copper pennies. |
KOH preparation is recommended in the following suspected conditions (this is not the exclusive list);
Note:To identify the fungal isolate, specimens must be cultured in either general purpose fungal culture media such asSabouraud Dextrose Agar (SDA)or specific media based on the type of anticipated isolate.


Disadvantages of the KOH preparation method
- Experience is required since background artifacts are often confusing.
- Clearing off some specimens may require an extended time
Procedure to make 100 ml of KOH 10% w/v solution
- Weigh 10 g potassium hydroxide (KOH) pellets.
- Transfer the chemical to a screw-cap bottle.
- Add 50 ml distilled water, and mix until the chemical is completely dissolved. Add remaining distilled water and make the volume 100 ml.
- Label the bottle and mark it as corrosive. Store it at room temperature. The reagent is stable for up to 2 years.
Caution: Potassium hydroxide is a highly corrosive deliquescent chemical therefore handle it with great care and ensure the stock bottle of chemical is tightly stoppered after use.
Modification in KOH Preparation method
- Use of dimethylsulphoxide-KOH reagent:Â Adding dimethylsulphoxide (DMSO) to KOH enables specimens to be examined immediately or after only a few minutes.
- KOH with blue-black fountain pen ink added: The ink is not specific for fungi as it stains cells and other components in the skin. The addition of ink is recommended when Malassezia furfur is suspected.
References and Further Readings:
- District Laboratory Manual in Tropical Countries, Part 2; Cambridge University Press
- Bailey & Scott’s Diagnostic Microbiology, Elsevier