Periodic acid-Schiff (PAS) is a staining technique for demonstrating the carbohydrates and fungal cell wall components. PAS can detect the presence of glycogen, polysaccharides, and mucin in the tissue that is either formalin-fixed, paraffin-embedded, or frozen tissue sections. PAS is performed in the laboratory for histological studies.
Principle of Periodic acid- Schiff (PAS) Staining
The periodic acid of the stain reacts with carbohydrates in an oxidative process. In this process, the polysaccharide and the periodic acid reaction form an oxidized compound- aldehyde. Now, the aldehyde reacts with the Schiff reagent, which gives the purple-magenta color. Similarly, the appearance of the pink color suggests the presence of intracellular or extracellular mucin. In contrast, using hematoxylin or methyl green as counter-stain helps in staining the nuclei. Likewise, a light green colored counter stain is preferred to demonstrate the fungal organisms.
Solutions and Reagents
0.5% Periodic Acid Solution
- Periodic acid crystals-0.5 g
- Distilled water-100 ml
To prepare 0.5% periodic acid solution mix 0.5 g periodic acid crystals in 100 ml distilled water.
Schiff’s reagent
Dissolve 5 g basic fuchsin in 900 ml boiled water. Once it is cools to 50°C add 100 ml 1M HCl to the mixture. Again add 10 g of K2S2O5 once the mixture cools down to 25°C. After completely mixing, shake the solution for 3 minutes and let it incubate for 24 hours in a dark room.
After incubation, add 5 g of activated charcoal to the mixture. Then shake the solution for 3 minutes and filter. The refiltration and retreatment of the solution are necessary if the solution is not crystal clear. Store the solution at 4°C in the foil-covered bottle. It is suitable to use the solution for 2-3 weeks if stored properly.
For testing the purity of the prepared Schiff’s reagent:
Pour 10 ml of 10% formalin into a beaker, then add a few drops of the prepared Schiff’s reagent. Then change in color is interpreted as
- The red-purple color means it is a good Schiff’s reagent.
- Deep blue-purple color means poor Schiff’s reagent (delayed reaction).
Mayer’s Hematoxylin
- Aluminum potassium sulfate (alum)- 50 gram
- Distilled water- 1000 ml
- Hematoxylin- 1 gram
- Sodium iodate- 0.2 gram
- Glacial acetic acid- 20 ml
Dissolve alum in distilled water. Add hematoxylin when alum is completely dissolved. When hematoxylin is completely dissolved, add sodium iodate and acetic acid. Then boil and cool it.
Procedure for Periodic Acid-Schiff (PAS) Staining
- Firstly remove the paraffin from the tissue sections by washing in distilled water.
- Then, place the tissue in 0.5% periodic acid solution for 5 minutes. It oxidizes the tissue.
- After that, rinse the tissue properly in distilled water.
- Then, cover it with Schiff’s reagent for 5-15 minutes which turns into light pink.
- After that, wash the stain for 5 minutes using lukewarm water, which turns it into dark pink.
- Then counter-stain the tissue using Mayer’s Hematoxylin for 1 minute.
- After that, wash it with running tap water for 5 minutes and rinse using distilled water.
- Finally, dehydrate the slide, place the coverslip and mount it using synthetic mounting media.
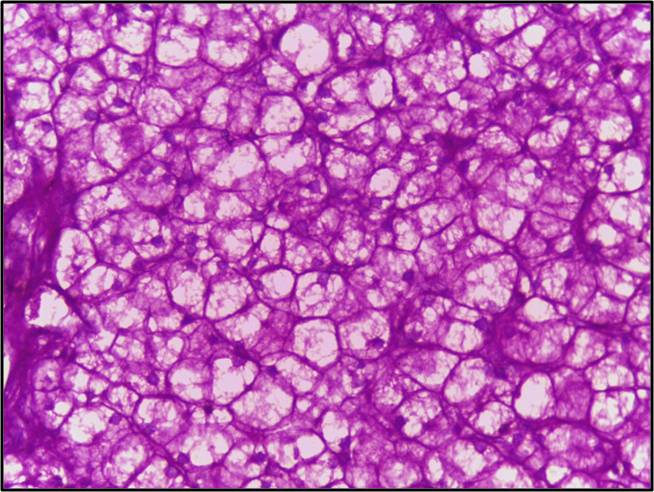
Results interpretation for Periodic acid-Schiff (PAS) Staining
- Glycogen, mucin and some basement membranes-Red/ purple
- Fungi-Red/ purple
- Background-Blue

Applications of Periodic Acid-Schiff (PAS) Staining
- The periodic acid-Schiff (PAS) staining is used to detect glycogen deposits in the liver. This test is useful when a person is suspected of the glycogen storage disease.
Glycogen storage disease (GSD) is a genetic disease in which the body cannot produce enzymes to break the complex sugar glycogen into simpler forms. It affects the different parts of the body like the liver, muscles etc.
- It demonstrates the glycogen granules in the bladder, kidney, ovary, pancreas, and lung tumors.
- It is used to visualize the basement membrane present in the various tissues in the body. Likewise, PAS demonstrates the thickness of the glomerular basement membrane for detecting abnormality in renal tissues.
- PAS stain is used in the diagnosis of glandular carcinomas (adenocarcinoma).
- PAS identifies Candida albicans, Aspergillus fumigatus, and Cryptococcus neoformans infections in the tissue samples.
- PAS staining detects the neutral mucins in the gastrointestinal tract and some epithelial mucins.
- PAS can be used to study the amorphous or granular globules of the pulmonary alveolar proteinosis.
Pulmonary alveolar proteinosis is a rare disorder which causes the air sacs in the lungs to become clogged with surfactant.
- PAS is used to study the skin’s eosinophilic globoid bodies or Kamino bodies.
References
- (IHC World, 2011)IHC World. (2011). PAS (Periodic Acid Schiff) Staining Protocol. IHC World. http://www.ihcworld.com/_protocols/special_stains/pas.htm
- Stain, Periodic Acid Schiff Test – Test Results, Normal Range, Cost And More. Lybrate. (2022). Retrieved 21 June 2022, from https://www.lybrate.com/lab-test/stain-periodic-acid-schiff.
- (2022). Retrieved 21 June 2022, from https://www.labce.com/spg949466_periodic_acid_schiff_pas_diagnostic_applications.aspx.